4/18土本日は診療日
外来診療表 開く
診療科案内 開く
放射線診断・IVR科 (放射線科)
画像診断とIVR治療で、正確な診断と治療を支えています。
放射線部は、放射線診断専門医・IVR専門医1名をはじめ、診療放射線技師6名、看護師1名、事務員1名の体制で診療を行っています。
CTやMRIなどの各種医療機器を用いて得られた生体情報を画像化し、正確な診断に必要な情報を診療の場へ提供しています。
また、画像診断だけでなく、インターベンショナルラジオロジー(IVR)による低侵襲な治療を積極的に導入し、患者さんの身体的負担を抑えた治療にも取り組んでいます。
2012年の新棟移転に伴い最新鋭の放射線機器を導入し、さらに2022年にはCTおよびMRIの機器更新・バージョンアップを行うことで、最新の医療ニーズに対応できる検査・治療体制を整えています。
担当医紹介
Tanaka Hiroaki
- 診療科
- 放射線診断・IVR科
- 専門
- 日本医学放射線学会診断専門医・日本IVR学会専門医・日本脈管学会専門医・日本腹部救急医学会認定医・日本門脈圧亢進症学会認定医・浅大腿動脈ステントグラフト実施医
- 所属学会
- 日本医学放射線学会/日本IVR学会・評議員/日本IVR中国四国地方会・世話人/日本脈管学会・評議員/日本腹部救急学会・評議員/救急放射線研究会・世話人/日本門脈圧亢進症学会/日本血管外科学会/日本静脈学会/日本透析アクセス医学界/透析バスキュラーアクセスインターベンション治療医学会/Cardiovascular and lnterventional Radiological Soctety of Europa(CIRSE)
- 卒業大学 / 年度
- 愛媛大学 医学部 / 昭和63年(1988年)
検査装置
一般撮影検査
最新のFPD(フラットパネルディテクター)を導入し、全身のX線撮影を行っています。
従来よりも低被ばくで高画質な画像が撮影可能になりました。
ポータブル撮影
移動型のX線撮影装置です。移動が困難な方のベッドサイドでの撮影や、ERや救急時の緊急撮影、手術室などで主に使用します。
CT検査
最新の64列CTを導入いたしました。頭から足の先まで全身の検査を行うことが可能です。造影剤を使用し、心臓の血管(冠動脈)をはじめ全身の血管を3Dで表示したり、大腸がんなど様々な外科の手術前支援画像も作成しています。この装置の特徴としてASiRとよばれる新しい画像再構成法を搭載しています。従来の画像再構成法よりノイズを大幅に低減させることができ、X線量を少なくして撮影することが可能となりました。
MRI検査
1.5テスラの超伝導型MRI装置です。
MRIでは放射線を使用しませんので、被ばくは全くありません。MRIは、磁場の中(装置内)でラジオ波(RF波)を発信させ、ラジオ波が体内に到達すると体内のプロトンの向きが変わり、向きが変わったプロトンが本来の向きに戻る際に発する信号を画像化しています。
血管造影検査
心臓カテーテル検査やペースメーカーをはじめ、透析内シャント狭窄に対する血管形成術、脳血管撮影、末梢血管撮影、胸部腹部血管撮影およびIVR治療までを行っています。FPD(フラットパネルディテクター)を搭載しており、低被ばくで高画質な画像を得ることが可能になりました。
透視検査
上下部消化管検査、各種関節造影など様々な検査・治療を行う装置です。こちらもFPD(フラットパネルディテクター)搭載により低被ばくで検査が行えます。また、トモシンセシスという新しい撮影を行うことが可能で、一般撮影やCTでもわかりにくいようなごく微小な骨折や金属挿入部付近の骨折の発見もしやすくなりました。
骨密度検査
手首の骨の密度を測定し、骨粗鬆症の発見・予防を行います。短時間で検査を行えます。
治療について
インターベンショナルラジオロジー(IVR治療)・放射線カテーテル治療について
インターベンショナルラジオロジー(IVR治療)・放射線カテーテル治療とは血管造影装置、コンピュータ断層撮影装置(CT)、超音波断層診断装置(US)などの画像診断装置にて体内臓器を確認しながら、細い医療器具(カテーテルや針)を進めて病気の治療を行う治療法です。従来の外科治療法と異なり腹部や胸部を切開しないために体への負担が圧倒的に少ないという特徴があります。また、医療器具を入れる穴も数ミリ程度と小さく、処置後の傷もほとんど残りません。日本でも80年代より急速に広がり現代医療で欠かせない治療法となっています。
透析シャント狭窄・閉塞に対するIVRについて
当院では透析専門医および日本IVR学会専門医が在籍しており、透析関連において透析シャント不全(自己血管、人工血管)に対するバルーン拡張術(PTA)による治療法を積極的に施行し、県内でも豊富な治療経験数を有する施設となっています。造影剤アレルギーのある方は超音波ガイド下(US)で施行しており副作用の心配はありません。最近では透析シャントの開存率の向上を目的とした最新治療法を積極的に導入しています。自己血管シャント頻回狭窄に対しては、薬剤コーティングバルーンカテーテルを併用しバルーンに塗布された薬剤(パクリタキセル)をバルーン拡張により血管壁に付着させ、再狭窄を抑制する治療法を選択しています。
国際共同治験(IN.PACT AV Access試験)において良好な成績が得られ、薬剤コーティングバルーンを用いることで再狭窄を抑制する効果が期待されております。人工血管シャント静脈吻合部狭窄に対しては標準的なバルーン拡張術(PTA)でも頻回狭窄する場合には、人工血管内から正常血管内までステントグラフト留置を選択し再狭窄予防を行っています。国際共同治験(Gore REVISE試験)にて良好な成績が得られ、開存率向上が確認されています。
実際の症例①
自己血管シャント狭窄を繰り返し3ヶ月ごとに標準のバルーン拡張術(PTA)を行っていましたが、薬剤コーティングバルーンを併用することで6ヶ月も再狭窄なく透析が可能でした。

3ヶ月ごとに
狭窄繰り返し

バルーン
にて拡張後

再狭窄見られず
実際の症例②
人工血管静脈吻合部狭窄にて頻回に標準のバルーン拡張(PTA)を繰り返していましたが、ステントグラフト(ゴア社バイアバーン)留置にて狭窄消失しました。


狭窄は消失
胸部疾患に対するIVRについて
代表的な疾患では肺腫瘍に対するCTガイド下生検での組織診断、肺動脈脈瘻(肺動静脈奇形)では手術と同等である金属コイル塞栓術を施行しています。当院では呼吸器センターと共同で検査・治療を行っています。
肺動静脈瘻(肺動静脈奇形)は肺に血液を送る肺動脈と肺から血液を送り出す肺静脈が異常な血管で直接吻合する病気で、息切れなどの低酸素血症、肺出血、脳梗塞、脳膿瘍などの原因となり、血管径が2-3mmであると積極的な治療が必要となります。遺伝的要因で家族内発生することもあります。最近では手術よりもIVR治療による金属コイルにて異常血管を塞栓する(詰める)治療法が標準となっています。

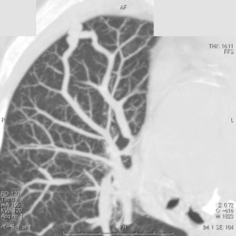
CTガイド下生検施行
1cmの肺結節にCT撮影しながら
生検針を穿刺し組織採取

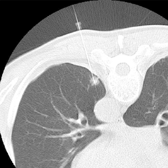
肺動静脈瘻
(肺動脈奇形)のCT
肺動脈と肺静脈に
異常な吻合が描出されている

血管撮影にて
異常血管を確認

金属コイルにて
異常血管を塞栓し消失
腹部疾患および
末梢血管に対するIVR治療について
代表的な疾患としては肝癌に対する化学塞栓療法(TACE)、腹部内臓動脈瘤に対する金属コイル塞栓術等を施行しています。腹部内臓動脈瘤はCTや超音波検査にて偶然に発見されることの多い病気です。動脈硬化や線維筋異形成症などに合併しやすく、脾動脈や肝動脈、腎動脈、膵動脈に多く見られます。症状(出血、圧迫症状)がないことも多いですが、妊娠可能年齢や瘤径増大するもの、サイズが大きいもの(一般的に2-3cm以上)は治療対症となります。外科手術よりもIVR治療によるコイル塞栓術やステントグラフト治療が有効です。膵動脈では破裂の危険性が高いために大きさに関係なく発見した時点で治療考慮することがあります。
下肢末梢血管では動脈硬化による狭窄・閉塞が多く、跛行(短距離での歩行障害)や虚血(指趾疼痛・壊死)の症状があればIVR治療(血管拡張術)を施行します。IVR治療が不適の場合にはバイパス術も考慮します。特に透析患者は症状が重篤になりやすいので定期的な検査や経過観察が必要です。
IVR治療に関しては、日本IVR学会専門医にお問い合わせください。
ご紹介で来院される方へ
予約時間の30分前までに、病院総合受付へお越しください。
※完全予約制の検査ですので予約時間にお越し頂けない場合は、検査が行えないことがありますのでご了承ください。
※読影所見については、放射線科医師から直接お話することは原則としていたしておりません。
- 検査に当たっての注意事項等は、検査前にご説明させて頂きます。
- 検査終了後は病院総合受付前でお待ち頂きます。
- 放射線科医師が読影所見を記入したのち、診療情報提供書と検査画像が入ったCD-Rを会計時にお渡しいたします。
- 造影剤を使用した検査は受け付けておりません。
来院時にお持ちいただくもの
- 01 健康保険証
- 02 紹介状(郵送されている場合もあります)
- 03 当院の診察券(過去に受診歴のある方)
- 04 コンタクトレンズケース(MRI検査の方でコンタクトレンズを使用されている方)
